
Here at Harrisonburg Family & Cosmetic Dentistry, we are passionate about helping our patients enjoy the best quality of life possible through high-quality care. Often, in order to accomplish that, we collaborate with local specialists. Would you like to discover how we helped one patient to renew and restore their smile? Continue reading to learn about Charlie’s journey.
Charlie’s Situation
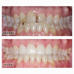
When Charlie first sought care, he had one obvious concern: severe wear on his front teeth. Years of teeth grinding, along with a significant underbite, had taken their toll. With visibly shortened front teeth and abnormal bite function, both his oral health and his appearance were suffering.
Orthodontic Care Addressed the Underlying Cause
At first, it might seem like the solution to Charlie’s situation was as simple as placing veneers to restore the appearance and function of the teeth. And yes, our Harrisonburg team was able to help him with that. First, though, orthodontic care was necessary.
An underbite was responsible for the damage to Charlie’s smile, so we partnered with a local board-certified orthodontic specialist, Dr. Giardina. She could see right away that the friction from his misaligned bite was slowly wearing away at his teeth every time he chewed or clenched his teeth.
“My role in Charlie’s treatment was to create the right amount of space between his upper and lower teeth so his restorations would be protected and long-lasting,” Dr. Giardina explained. “We used ceramic braces and rubber bands to gently reposition his teeth and jaws. We also carefully reshaped his lower front teeth to help improve the way they fit together.”
Dr. Giardina paid great attention to both aesthetics and function. We could not be more grateful for her role in bringing Charlie closer to his goals!
The Restorative Phase

After the orthodontic treatment was complete, our team stepped in to help Charlie. First, we performed a teeth whitening treatment to brighten his smile. Then, we shade-matched beautiful custom veneers that were designed to match his new bite and complement his natural features.
Because of the successful orthodontic treatment, we were able to be very conservative with the veneers, preserving significantly more healthy tooth structure than would have been possible otherwise.
Veneers are often viewed as a purely cosmetic measure, but in this case, they proved to be much more than that. By lengthening the teeth and restoring a natural appearance, they went a long way toward supporting Charlie’s overall wellness and confidence!
The Results
Look at that smile! Charlie went from a visible damaged smile to a confident and beautiful grin that functions optimally. His bite now protects his teeth instead of damaging them, so he can look forward to many years of reliable results.
What This Means for You
Charlie’s story is a testament to the power of collaboration between dental experts. If you have complex or severe problems with your smile, we can evaluate your situation and help you determine your next steps. We work with a network of local specialists, including Dr. Giardina, and we would love to help you design a treatment plan that helps you reach your goals. To learn more or to request a consultation, contact us at 540-432-6616.

